你是否知道自己有肺癌?
肺癌是臺灣最常見的癌癥之一
抽煙/長期暴露於煙霧/工業汙染/家庭空氣汙染/家族遺傳
都是引發肺癌的主要誘因之一

台灣肺癌發生率位居亞洲第二
你還以為離自己很遠嗎!!!
日益增長的汽車尾氣排放和抽煙人群正在威脅著我們的肺部健康
你以為不抽煙就沒有關係嗎??
二手煙也在慢慢侵蝕你的健康
百分之60的肺癌患者也沒有抽菸
二手煙更加嚴重
45嵗以上患有肺癌概率直綫上升
難道真的就沒有一種方法能夠幫助你遠離二手煙的危害嗎?
答案是有的!
陳晉興醫師赴日調研一種治療肺癌清肺的產品
陳晉興醫師親赴日本學習
發現日本人肺健康的秘密武器!
【日本清肺靈芝】

日本藥店常年有售這款清肺靈芝,在日本的累計銷量已經達到三千萬瓶!

臨床試驗上服用了【日本清肺靈芝】讓整個肺泡重新擁有了肺功能
逆轉式修復,老煙槍的肺也有救了!
【日本清肺靈芝】通過獨特的配方和先進的技術
實現了前所未有的肺部修復效果
讓您的肺煥然一新,重獲健康
清肺靈芝
源自日本
100%原裝進口!
選擇品質,選擇健康!
原裝進口產品,質量有保障,讓您用得放心,安心
清肺靈芝
夏天是否天天燒烤/宵夜注意!!!!
35嵗高雄陳女士
一周三次燒烤成肺癌末期
現在完好如初
只用一瓶【日本清肺靈芝】
以下為患者自述:
一個月讓我從絕望看到希望
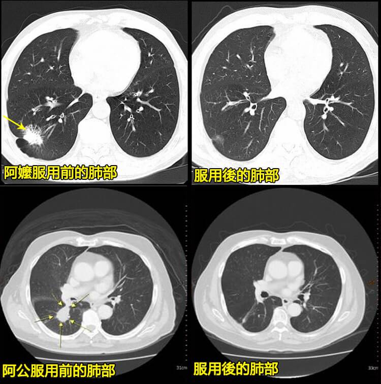
鄭阿公自述:
我是二十幾年的老咳喘了,咳嗽、咳痰,走路走久了就喘的不行, 一到秋冬出門,吸入冷風就咳的特別兇,晚上一點多經常咳的睡不著覺;這些 年吃了很多治咳喘的藥,除不了病根還是年年犯,也病的越來越厲害幾乎對治療不報什麼希望了。 去年冬天兒子買了(日本清肺靈芝),說是中藥傳承經典的方子很有效。 結果我服用當天就感覺不太憋悶了,一星期後咳嗽的毛病好了不少,明顯感覺比之前用的產品效果都好,服用一個月後我上下樓梯也有勁了,晚上不咳喘可以睡上安穩覺了,這讓我看到了康復的希望,就又購買了兩個週期,堅持服用完已徹底康復了,我現在已徹底被它的療效征服了,如今1年過去了也沒有復發過。
七天肺部黑塊完全消失
從不能做任何活動到能上街買菜僅用了55天
陳阿嬤自述:
本人得肺氣腫已經近20年了,剛患病時,只是咳嗽氣短,再加上年輕時家庭條件不好,為了供子女上學,期間也就自己吃點藥維持著,這一拖,就 拖了近20年! 近幾年,隨著年齡的增大,發病的次數越來越頻繁,病情也越來越重,除了咳嗽咳痰之外,總感覺乏力,食慾也越來越差,嗜睡和氣喘也越來 越厲害,多走幾步就喘的不行,胸口總是憋悶的難受,而且還疼的厲害,還總是莫名的心慌,徹夜難眠,為治病輾轉多地,依舊求醫無果! 在朋友的推薦下開始服用陳晉興醫師的(日本清肺靈芝),在吃了一個療程後,呼吸越來越順暢了,胸痛,浮腫、心率加快,心律不齊的症狀明顯改善,第二個療程的時候睡眠品質提高了,人精神了很多,服用到第三療程的時候幾乎告別老咳喘了,前陣子去醫院一檢查肺氣腫居然康復了,我的主治醫師都感到很驚奇,哈哈!
這是陳晉興主任最新引進,採用最新技術,可解決肺部情況。此臨床試驗數據表明,【日本清肺靈芝】可以幫助呼吸道疾病患者治愈率高達98%以上,獲得了高度認可
感恩【日本清肺靈芝】讓我們重獲新生
讓我們徹底擺脫肺病,告別各種藥物
治愈呼吸道疾病勢在必行,早用【日本清肺靈芝】早康復!!
各國醫療團隊,醫療機構等指定推薦的呼吸道疾病產品
Claire:用此藥不到40天,將呼吸道全部調理好了,感謝醫師研發出這麼好的藥!
國際權威認證
